Migraines headache treatment at Khansa Plastic Surgery
As a migraine patient himself, Dr. Khansa is dedicated to alleviating the suffering of migraine patients with Botox or surgery
Botox and surgery are effective in 80-90% of people who are not being fully helped by migraine medications
How does it work?








Sensory nerves in the head and neck may be compressed by muscles, fascia, or blood vessels
1
The supraorbital and supratrochlear nerves are compressed in the brow/forehead by the corrugator muscle and fascial bands
The greater occipital, lesser occipital and third occipital nerves are compressed in the back of the neck by the semispinalis and trapezius muscles, fascial bands, and the occipital artery
The auriculotemporal and zygomaticotemporal nerves are compressed in the temple by the temporalis muscle and the superficial temporal artery
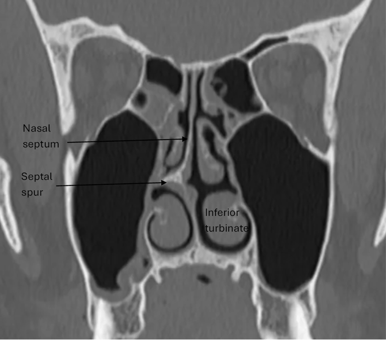
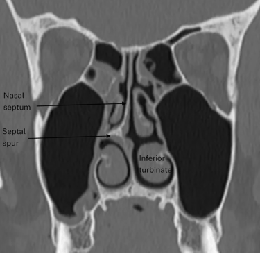
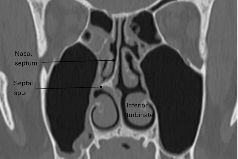
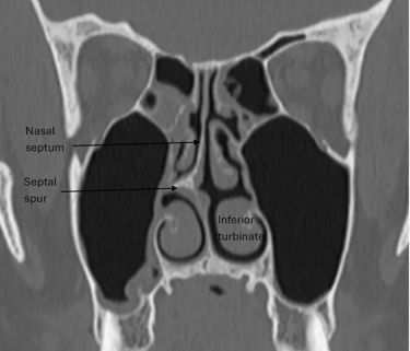
Nerves in the nasal mucosa are compressed due to a deviated septum, septal spur or enlarged inferior turbinate
Pain signals (substance P, CGRP, neurokinin A) travel along the compressed nerves to the brain, causing sensation of pain
2


Botulinum toxin (Botox) can be used to prevent migraines by interrupting this pain pathway
3




Botulinum toxin prevents transmission of pain signals along the compressed nerve
Botulinum toxin prevents contraction of muscles that compress nerves
Botulinum toxin works in 2 ways
1
2
Surgery can be used to permanently remove muscle, fascia, and blood vessels that compress nerves
4


To decompress the SON and STN, Dr. Khansa will remove the corrugator muscle, release any foramina or notches, and ligate any blood vessels compressing the nerves


Supraorbital and supratrochlear nerves


Greater occipital, lesser occipital and third occipital nerves
To treat GON compression, Dr. Khansa will remove portions of trapezius and semispinalis muscle and fascia, and will ligate the occipital artery if it compresses the nerve.
To treat LON and TON compression, Dr. Khansa will release them from any surrounding muscle and fascia, or will ligate them
Auriculotemporal and zygomaticotemporal nerves
To treat AT nerve compression, Dr. Khansa will remove any portion of the superficial temporal artery compressing the nerve, and may ligate the nerve
To treat ZTN compression, Dr. Khansa will ligate the nerve
Nasal trigger site


To treat mucosal contact points in the nose, Dr. Khansa will perform a septoplasty and a turbinate reduction


