Orthognathic surgery (jaw surgery)
As a craniofacial, board-certified plastic surgeon, Dr. Khansa is an expert in jaw surgery, with years of experience serving patients
How does jaw surgery work?
Dr. Khansa will meet you and examine you to determine what your desires are
1
If your lower jaw (mandible) is too far back, and/or your upper jaw (maxilla) is too far forward, you have Class II malocclusion
If your lower jaw (mandible) is too far forward, and/or your upper jaw (maxilla) is too far back, you have Class III malocclusion
If your upper jaw (maxilla) is too long and you have a gummy smile, you have vertical maxillary excess
If your jaws touch too early when you are biting, you have an anterior open bite








Dr. Khansa will work closely with your orthodontist, and will perform Virtual Surgical Planning (VSP) to precisely plan your surgery
2
LeFort 1 advancement of the maxilla (upper jaw) for a patient with cleft lip and palate




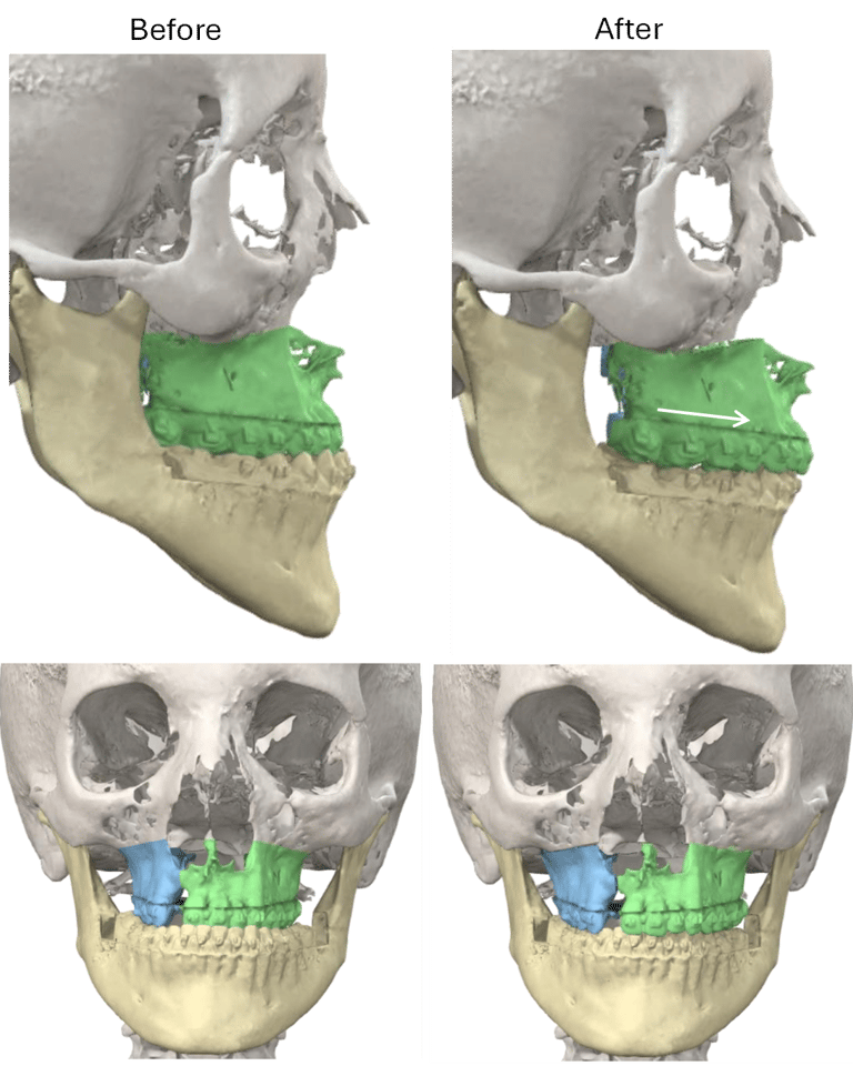
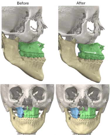
LeFort 1 advancement and impaction (shortening) of the maxilla (upper jaw) and BSSO advancement/rotation of the mandible (lower jaw) for a patient with obstructive sleep apnea and anterior open bite


LeFort 1 impaction (shortening) of the maxilla (upper jaw) and BSSO setback of the mandible (lower jaw) for a patient with vertical maxillary excess and class III malocclusion




